
KNEECAP DISLOCATION
Recurrently dislocating patella

Torn MPFL
knee cap
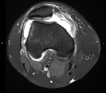
MPFL tear on MRI
The MPFL, or Medial Patellofemoral Ligament, is the ligament keeping the kneecap, or patella, from dislocating. The MPFL stabilizes the kneecap, and when a kneecap dislocation occurs, the MPFL may tear or become stretched out. Without a competent MPFL, the kneecap can recurrently dislocate.
Kneecap dislocations cause a swollen, painful knee often with the feeling of a clunk or pop. In addition to causing knee pain, kneecap dislocations can cause damage to the cartilage on the underside of the kneecap.
This injury can occur for a variety of reasons: a plant-and-twist (pivot) injury, or a fall or trauma. An examination in the office as well as MRI imaging will confirm the presence of a torn MPFL or any cartilage injuries to the underside of the kneecap. Treatment depends on the severity of the injuries found:
​
-
For a completely torn or severely stretched MPFL or a recurrently unstable kneecap, Dr. Bedford may recommend surgical reconstruction of the MPFL.
-
For a mildly stretched MPFL or some first time dislocators, Dr. Bedford may recommend conservative treatment measures first, such as wearing a brace and physical therapy.
-
For cartilage injuries to the underside of the patella, Dr. Bedford may recommend surgically treating these defects.
